Traitements réalisés
Traitement parodontal
Diagnostics et traitements des maladies gingivales.
Reconstruction des séquelles de ces maladies, greffes et régéneration des tissues osseux ou gingivaux.
Plus d’infos
Traitement implantaire
Traitements de reconstruction implantaire, ainsi que toutes les techniques de reconstructions osseuses et gingivales nécessaires.
Plus d’infos
Chirurgie orale
Interventions en chirurgie orale, telles que avulsion de dents de sagesses, pose de dispositif orthodontique, exérèse de kystes, freinectomie, …
Plus d’infos
Chirurgie plastique parodontale
Chirurgie plastique de la gencive, préventive ou curative. Repositionnement, épaississement,…
Plus d’infos
Cas cliniques
Greffe gingivale
Greffe gingivale
Greffe gingivale
Greffe gingivale
Greffe gingivale
Greffe gingivale
Reconstruction globale
Reconstruction de crête
Régénération tissulaire
Greffe osseuse sous sinusienne
Greffe osseuse d’apposition
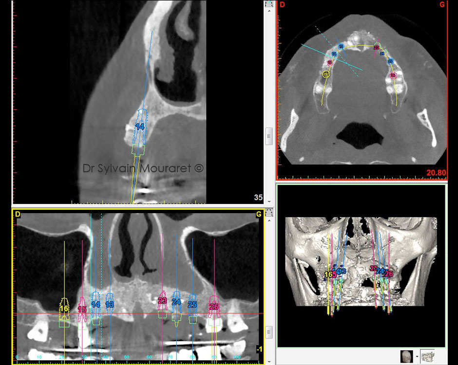
Chirurgie implantaire guidée
Expériences cliniques
Activitées Professionnelles en pratique privée
Exercice dans des cabinets de renom à Neuilly sur Seine, Paris, Nice, Cannes, Genève, depuis 2004.
Activitées Professionnelles Hospitalo-universitaires
Attaché d’enseignement Hospitalo-Universitaire à l’Université de Nice- Sophia Antipolis, 2005-2008.
Service de Parodontologie de Paris VII, Hôpital Rothschild-Garancière, 2008-2011.
Traitement des maladies des tissus de soutien de la dent.
Technique permettant de remplacer une dent absente par une racine artificielle












